
폐렴 전염: 초기 증상과 예방법
폐렴 전염: 폐렴은 감염성 질환으로, 주로 38도 이상의 고열, 누런 가래와 심한 기침 등이 나타납니다. 이러한 증상이 나타날 경우, 많은 사람들이 일반적으로 감기로 오해하고 크게 신경쓰지 않게 됩니다. 하지만, 폐렴은 전염성이 높은 질병이기 때문에 초기 증상을 제대로 파악하고 예방하는 것이 매우 중요합니다.
폐렴은 주로 비인두감염으로 전염되기 때문에 주의가 필요합니다. 폐렴을 일으키는 원인균에 의해 전염되고 감염됩니다. 따라서, 알맞은 예방책과 격리 조치가 필요합니다.
폐렴은 전염성이 있으며 전파될 수 있습니다. 따라서, 공기 중에 떠다니는 곰팡이나 박테리아가 폐렴의 원인이 될 수 있으므로, 주의가 필요합니다. 폐렴을 예방하기 위해서는 다음과 같은 조치를 취할 수 있습니다: 1. 손 씻기: 손은 우리가 일상생활에서 다양한 물체와 접촉되는 부위로, 손을 깨끗하게 씻는 것은 매우 중요합니다.
비누와 물을 사용하여 꼼꼼하게 손을 씻어야 합니다. 2. 마스크 착용: 폐렴은 비인두감염으로 전파되기 때문에 다른 사람과의 접촉 시에는 마스크를 착용하는 것이 좋습니다. 특히, 공공장소에 나갈 때는 마스크를 착용하여 다른 사람에게 전염될 가능성을 최소화해야 합니다.
3. 사회적 거리두기: 다른 사람과의 접촉을 최소화하는 것이 중요합니다. 인사나 안부 전달 시에는 멀리서 인사한다거나 인사말을 전달하는 것이 좋습니다. 만약 다른 사람과의 접촉이 불가피한 경우에는 가능한 한 가까운 거리에서 접촉을 최소화해야 합니다.
4. 예방접종: 폐렴을 예방하기 위해 예방접종을 받는 것이 좋습니다. 폐렴 예방접종은 국제적으로 인정된 안전하고 효과적인 예방법 중 하나입니다. 이렇게 한국어로 폐렴과 전염에 관한 내용을 요약하여 소개했습니다.
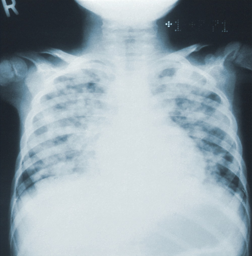
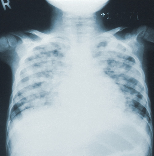
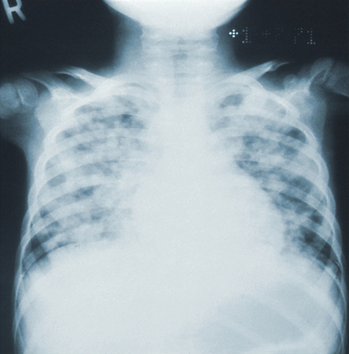
폐렴과 전염에 대한 요약 내용:폐렴은 호흡기 감염으로 인해 발생하는 흔한 질환입니다. 주로 세균, 바이러스 또는 균류에 의해 감염되지만 기타 원인으로도 발생할 수 있습니다. 폐렴은 폐에서 염증과 액체 축적으로 인해 호흡 과정에 심각한 영향을 줄 수 있습니다.
전염은 질병의 전파를 의미하며, 폐렴은 전염성 질병입니다. 주로 호흡기 분비물을 통해 사람에게 전파될 수 있습니다. 사람은 폐렴 환자와의 직접 접촉, 에어로졸 출혈, 비수면으로 인한 호흡기 분비물의 감염 등을 통해 폐렴에 감염될 수 있습니다.
만성 기관지염은 가래와 기침이 계속되는 질환으로, 2년 연속으로 1년에 3개월 이상 가래가 있는 경우 진단됩니다. 그러나 다른 폐 질환이나 기도 질환에서도 가래를 동반한 기침이 오랫동안 지속될 수 있으므로 만성 기관지염을 진단하기 위해서는 다른 질환을 제외하는 검사를 해야 합니다.폐렴과 만성 기관지염은 폐에 영향을 주는 질환으로, 질병의 발생 기전 및 경과가 유사하여 한데 묶여 "만성 폐쇄성 폐 질환"이라고도 합니다.
따라서 폐렴과 만성 기관지염을 예방하고 조기에 치료하는 것이 중요합니다.폐렴은 주로 세균이나 바이러스 등 감염 요인에 의해 발생하며, 알레르기 반응, 방사선, 심각한 미세먼지 등에 의해 염증이 발생되어 발생할 수 있습니다. 다양한 원인이 있지만, 주로 감염으로 인한 경우가 많습니다.표에 내용을 정리하여 가독성 있게 작성할 수 있으며, 이를 위해태그를 사용해 표를 만들어 주세요. 텍스트는 폐렴과 전염에 관련된 내용으로 채워주세요. 폐렴 초기증상과 감기 전염 가능성에 대한 글을 마치며, 가족이나 지인 중 면역력이 약한 사람이 감기 증상을 보인다면 폐렴인지 주의 깊게 살펴보는 것이 중요합니다.
| 질환 | 원인 | 전파 방법 | 증상 | 예방 | 치료 |
|---|---|---|---|---|---|
| 폐렴 | 세균, 바이러스, 균류 | 호흡기 분비물 전파 | 호흡곤란, 가열, 기침 | 예방주사, 손 씻기, 예방접종 | 약물 요법, 휴식, 수액 |
| 만성 기관지염 | 환경, 유전적 요인 | 접촉, 에어로졸 전파 | 가래, 지속적인 기침 | 환경 개선, 약물 예방 | 약물 치료, 물리 치료 |